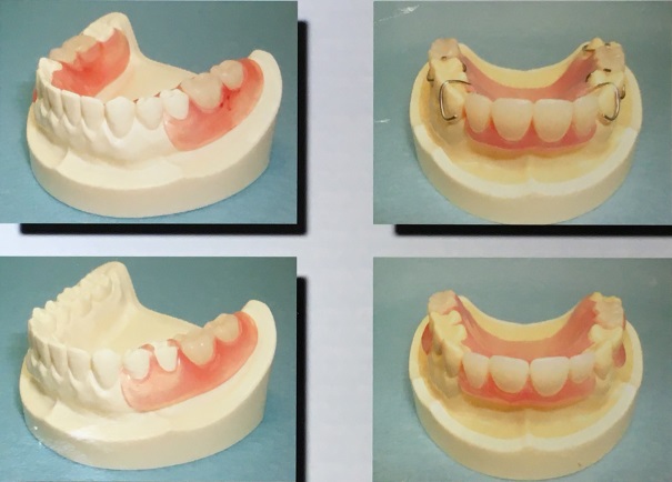
バルプラスト義歯について
バルプラスト義歯とは、金属のバネを使わない義歯です。

バルプラスト義歯の特徴
審 美:歯の表面に金属のバネ(クラスプ)が無いので義歯を口腔内に入れても、義歯と気づかれません。
快 適:義歯床の厚さがかなり薄くできるので、違和感が少ないです。
機能性:咀嚼・発音機能は平常通りで、安定性もよく従来の義歯の1/2の軽さです。
精 度:同一素材で義歯の維持部・床部を製作するので精度の高い義歯です。
安全性:無味・無臭でアレルギー反応もなく、金属アレルギーの方にも安全です。
○ アンダーカットに強く入れられるため片側処理が可能
○ 金属のバネがない
○ 強度が強く折れることがほとんどない
○ 診療室での修理はできない
治療には、個人差があり、すべての人でこのような経過を辿るものではないことをご了承ください。
基本的には保険適用ですが、治療内容によっては自費治療となります。
お問い合せは
までご連絡ください。